
更新日志
插件介绍
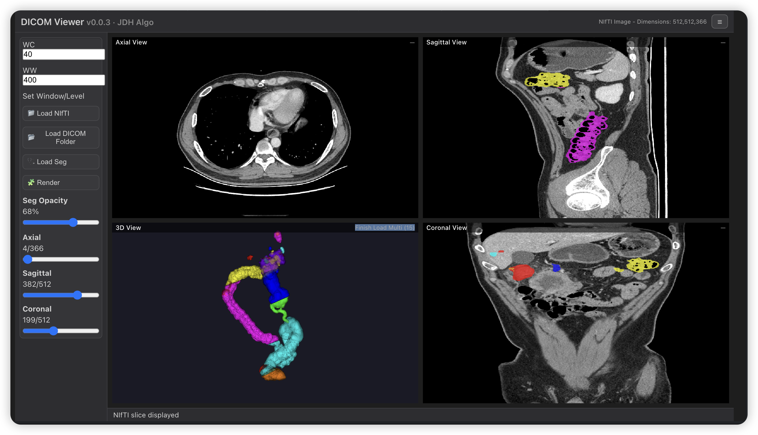
VS Code DICOM Viewer with MPR是一款功能强大的医学影像查看器插件,允许您在Visual Studio Code中直接查看和操作DICOM和NIfTI格式的医学图像文件。该插件提供多平面重建(MPR)、3D可视化、分割可视化等高级功能。
本插件是citrus-v项目开发过程中使用的工具之一,旨在为医学影像研究提供便捷的查看和分析工具,同时跟vscode结合可以轻松打开远程服务器的医学影像相关文件。
相关链接:
- citrus-v项目 repo:https://github.com/jd-opensource/Citrus-V
- citrus-v论文 arxiv:https://arxiv.org/abs/2509.19090
功能特点
📊 多平面重建 (MPR)
- 轴位视图:显示横断面图像
- 矢状位视图:显示前后方向的切面图像
- 冠状位视图:显示左右方向的切面图像
- 3D视图:提供三维重建视角和交互式3D模型
🛠️ 交互式操作工具
- 放大/缩小:调整图像显示比例
- 平移:移动图像查看不同区域
- 窗口/水平调整:优化图像对比度和亮度
- 测量工具:测量图像中的距离和角度
- 注释功能:在图像上添加标记和注释
- 分割可视化:支持分割标签的3D表面重建
🔧 高级功能
- DICOM支持:完整的DICOM文件读取和解析
- NIfTI支持:支持NIfTI格式的医学图像文件
- 分割处理:支持医学图像分割数据的3D可视化
- VTK集成:基于VTK.js的高性能3D渲染
- Python后端:使用Python服务器处理复杂的医学图像数据
⚡ 高性能处理
- 基于Web Worker的后台处理,确保流畅的用户体验
- 支持大型DICOM和NIfTI数据集的快速加载和渲染
- 智能缓存机制,提高重复访问性能
安装方法
方法一:通过VSIX文件安装
- 下载或生成
vscode-dicom-viewer-0.0.1.vsix文件
- 打开VS Code
- 按下
Cmd+Shift+P (macOS) 或 Ctrl+Shift+P (Windows/Linux) 打开命令面板
- 输入并选择 "Extensions: Install from VSIX..."
- 浏览并选择
.vsix文件进行安装
- 安装完成后重启VS Code以激活插件
方法二:从VS Code市场安装
- 打开VS Code的扩展面板(
Cmd+Shift+X或Ctrl+Shift+X)
- 搜索 "VS Code DICOM Viewer"
- 点击 "安装" 按钮
- 重启VS Code以激活插件
Python配置
这个插件的读图程序使用python驱动的,所以为了正常使用本插件,需要事先安装python环境
本插件需要Python环境来运行NIfTI服务器和3D可视化功能。默认使用python3命令。
配置Python路径
- 打开VS Code设置(
Ctrl+, 或 Cmd+,)
- 搜索 "DICOM Viewer"
- 在 "Python Path" 设置中配置Python可执行文件路径:
- Linux/Mac: 默认
python3
- Windows: 可能需要设置为
python 或完整路径如 C:\Python39\python.exe
Python依赖
确保安装了以下Python包:
pip install -r requirements.txt
或者手动安装:
pip install pydicom numpy SimpleITK vtk
依赖说明
- pydicom: DICOM文件读取和解析
- numpy: 数值计算和数组处理
- SimpleITK: 医学图像处理和分析
- vtk: 3D可视化和表面重建
使用方式
1. 打开医学图像文件
- DICOM文件:在VS Code中打开包含DICOM文件的文件夹或单个DICOM文件
- NIfTI文件:直接打开.nii或.nii.gz格式的医学图像文件
- 分割文件:支持加载医学图像分割数据用于3D可视化
1.1 右键快速加载(新功能)
- 在资源管理器中右键单个
.dcm文件或任何包含DICOM图像的文件夹,选择“Open DICOM Viewer”,即可直接打开面板并加载对应影像。
- 对
.nii/.nii.gz文件也支持右键加载;若文件名中包含seg、mask、label等关键词,会自动识别为分割数据并加载分割图层,其它则作为普通NIfTI影像进入MPR界面。
- 如果查看器已经打开,右键加载时会复用当前面板并刷新为新数据,无需手动重新启动。
2. 启动DICOM查看器
- 按下
Cmd+Shift+P (macOS) 或 Ctrl+Shift+P (Windows/Linux)
- 输入并选择 "DICOM Viewer: Open DICOM Viewer"
- 插件将启动Python后端服务器并打开Webview面板
3. 多平面重建操作
- 视图切换:在轴位、矢状位、冠状位视图间切换
- 交互操作:使用鼠标进行放大、缩小、平移
- 窗口调整:调整窗宽窗位以优化图像显示
- 同步浏览:多个视图同步显示相同位置
4. 3D可视化功能
- 3D重建:从DICOM序列生成3D模型
- 分割可视化:将分割标签转换为3D表面网格
- 交互式3D:旋转、缩放、平移3D模型
- 多标签支持:同时显示多个分割结构
5. 高级功能
- 测量工具:测量距离、角度等几何参数
- 注释功能:在图像上添加标记和注释
- 导出功能:导出3D模型为OBJ格式
技术规格
前端技术
- 开发语言:TypeScript
- 核心库:Cornerstone.js, dicom-parser, VTK.js
- 3D渲染:VTK.js for WebGL-based 3D visualization
- 图像处理:Cornerstone.js for DICOM image rendering
后端技术
- 开发语言:Python
- 核心库:pydicom, SimpleITK, VTK, numpy
- 服务器:HTTP服务器,支持RESTful API
- 缓存机制:智能缓存,提高重复访问性能
支持格式
- DICOM格式:大多数标准DICOM图像格式
- NIfTI格式:.nii, .nii.gz文件
- 分割数据:支持医学图像分割标签
- 导出格式:OBJ格式3D模型
兼容性
- VS Code版本:1.80.0及以上版本
- Python版本:3.7及以上版本
- 浏览器支持:现代浏览器(支持WebGL)
注意事项
性能要求
- 对于特别大型的DICOM数据集,首次加载可能需要一些时间
- 为获得最佳性能,建议在现代多核处理器和足够内存的环境下使用
- 3D可视化需要支持WebGL的现代浏览器
系统要求
- 内存:建议8GB以上内存用于大型数据集处理
- 显卡:支持WebGL的显卡,用于3D渲染
- Python环境:需要正确配置Python路径和依赖
已知限制
- 当前版本专注于DICOM和NIfTI格式的查看和基本分析
- 复杂的医学图像后处理功能正在开发中
- 某些特殊的DICOM私有标签可能不被完全支持
开发与构建
构建插件
使用提供的构建脚本:
chmod +x build.sh
./build.sh
开发环境设置
- 克隆项目到本地
- 安装Node.js依赖:
npm install
- 安装Python依赖:
pip install -r requirements.txt
- 编译TypeScript:
npm run compile
- 在VS Code中按F5启动调试
项目结构
src/
├── extension.ts # 主扩展文件
├── nifti_server.py # Python后端服务器
├── nifti_reader.py # NIfTI文件读取器
├── vtk_segmentation.py # VTK分割处理
└── seg_to_vtp.py # 分割转VTP格式
docs/
└── images/ # 文档图片目录
└── dicom-viewer-demo.png # 插件主界面演示
图片资源
README中使用的图片资源位于 docs/images/ 目录中。如需更新图片,请参考 docs/images/README.md 中的详细说明。
开发与贡献
如果您发现任何问题或有改进建议,欢迎提交Issue或Pull Request。
License
MIT License
致谢
本插件基于以下开源项目构建:
| |